Caries en niños: causas y prevención

La caries dental es una enfermedad muy común en los niños, que afecta a los dientes y puede causar dolor y problemas de salud bucal. Es importante entender las causas de la caries en niños y cómo prevenirla para mantener una buena salud bucal desde temprana edad. En este artículo, exploraremos las causas de la caries en niños y las medidas de prevención que se pueden tomar.

Causas de la caries en niños

Falta de higiene bucal

Una de las principales causas de la caries en niños es la falta de higiene bucal adecuada. Si los niños no se cepillan los dientes regularmente y no usan hilo dental, las bacterias y los restos de alimentos pueden acumularse en los dientes y formar placa dental. Esta placa contiene ácidos que pueden dañar el esmalte dental y causar caries.

Consumo de alimentos ricos en azúcares

El consumo excesivo de alimentos y bebidas ricos en azúcares es otro factor importante que contribuye a la aparición de caries en niños. Los azúcares alimentan a las bacterias presentes en la boca, que producen ácidos que atacan el esmalte dental. Los alimentos y bebidas azucaradas, como los refrescos, los dulces y los jugos de frutas, son especialmente dañinos para los dientes de los niños.

Presencia de bacterias productoras de ácidos en la boca

Algunas personas tienen una mayor cantidad de bacterias productoras de ácidos en la boca, lo que aumenta su riesgo de desarrollar caries. Estas bacterias se alimentan de los restos de alimentos y producen ácidos que dañan el esmalte dental. La presencia de estas bacterias puede ser hereditaria, por lo que es importante que los padres estén atentos a la salud bucal de sus hijos si tienen antecedentes familiares de caries.

Te interesa  Primeros dientes del bebé: ¿Cuándo suelen aparecer?

Susceptibilidad del esmalte dental

La susceptibilidad del esmalte dental también puede influir en la aparición de caries en niños. Algunos niños tienen un esmalte dental más débil o menos mineralizado, lo que los hace más propensos a desarrollar caries. Esta susceptibilidad puede ser causada por factores genéticos o por deficiencias en la dieta, como la falta de calcio y otros minerales esenciales para la salud dental.

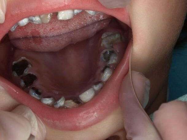
Manifestaciones de la caries en niños

Cambios de color en los dientes

Uno de los primeros signos de caries en niños es un cambio de color en los dientes. Los dientes pueden volverse amarillos, marrones o incluso negros. Estos cambios de color son causados por la desmineralización del esmalte dental debido a la acción de los ácidos producidos por las bacterias.

Pérdida de sustancia y rotura del esmalte dental

A medida que la caries avanza, puede causar la pérdida de sustancia y la rotura del esmalte dental. Los dientes pueden volverse frágiles y quebradizos, lo que puede llevar a la formación de cavidades y a la necesidad de tratamientos dentales más invasivos, como empastes o extracciones.

Borde amarillo, marrón o negro en los dientes

Otro signo de caries en niños es la aparición de un borde amarillo, marrón o negro en los dientes. Este borde es causado por la acumulación de placa dental y la desmineralización del esmalte dental. Si se deja sin tratar, esta área puede convertirse en una cavidad dental.

Prevención de la caries en niños

Buena higiene dental diaria

La mejor manera de prevenir la caries en niños es mantener una buena higiene dental diaria. Esto incluye cepillarse los dientes al menos dos veces al día con pasta dental que contenga flúor y usar hilo dental para limpiar entre los dientes. Los padres deben supervisar y ayudar a los niños más pequeños a cepillarse los dientes correctamente.

Te interesa  Importancia de las radiografías dentales en niños: descubre por qué

Uso de cepillos y pastas dentífricas infantiles

Es importante utilizar cepillos y pastas dentífricas diseñadas específicamente para niños. Estos productos suelen tener un sabor agradable y están diseñados para ser suaves con los dientes y las encías de los niños. Los cepillos de dientes con cerdas suaves y cabezas pequeñas son ideales para los niños.

Visitas periódicas al odontopediatra

Las visitas periódicas al odontopediatra son fundamentales para prevenir la caries en niños. El odontopediatra puede realizar una limpieza profesional de los dientes, aplicar selladores dentales para proteger el esmalte dental y proporcionar consejos y recomendaciones personalizadas para mantener una buena salud bucal.

Buenos hábitos alimenticios

Una alimentación equilibrada y saludable es esencial para prevenir la caries en niños. Limitar el consumo de alimentos y bebidas azucaradas, fomentar el consumo de frutas y verduras, y proporcionar alimentos ricos en calcio y otros minerales esenciales para la salud dental son medidas importantes para mantener los dientes sanos.

La caries en niños es una enfermedad dental común que puede ser prevenida. La falta de higiene bucal, el consumo de alimentos ricos en azúcares, la presencia de bacterias productoras de ácidos en la boca y la susceptibilidad del esmalte dental son algunas de las causas de la caries en niños. Reconocer los signos de caries, como cambios de color en los dientes y pérdida de sustancia del esmalte dental, es importante para buscar tratamiento a tiempo. La prevención de la caries en niños incluye una buena higiene dental diaria, el uso de productos dentales adecuados para niños, visitas periódicas al odontopediatra y una alimentación saludable. Con estas medidas, se puede mantener una buena salud bucal y prevenir la aparición de caries en los niños.

Te interesa  Prevención de caries en la niñez: mejores prácticas

Deja un comentario