Síntomas de alergia al níquel en la boca: lo que debes saber

Si experimentas síntomas como erupción cutánea, picazón intensa, enrojecimiento o cambios en el color de la piel, manchas de piel seca similares a quemaduras, ampollas en la piel o drenaje de líquido, es posible que estés sufriendo de alergia al níquel en la boca. En este artículo, te proporcionaré información detallada sobre los síntomas de esta alergia y lo que debes saber al respecto.

Síntomas comunes de alergia al níquel en la boca

Erupción cutánea o bultos en la piel

Uno de los síntomas más comunes de la alergia al níquel en la boca es la aparición de una erupción cutánea o bultos en la piel. Estos pueden ser pequeñas protuberancias rojas o ampollas que se forman en la zona afectada. La erupción puede ser dolorosa y causar molestias significativas.

Picazón intensa

La picazón intensa es otro síntoma característico de la alergia al níquel en la boca. Puedes experimentar una sensación de picazón insoportable en la zona afectada, lo que puede llevarte a rascarte constantemente. Sin embargo, es importante evitar rascarse, ya que esto puede empeorar la irritación y causar infecciones secundarias.

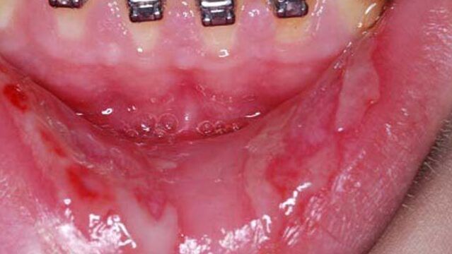
Enrojecimiento o cambios en el color de la piel

El enrojecimiento de la piel es otro síntoma común de la alergia al níquel en la boca. Puedes notar que la piel afectada se vuelve de un tono rojizo o incluso puede haber cambios en el color de la piel. Estos cambios pueden ser evidentes en la zona alrededor de la boca, los labios, las encías o la lengua.

Manchas de piel seca similares a quemaduras

Otro síntoma que puedes experimentar si tienes alergia al níquel en la boca son manchas de piel seca que pueden parecerse a quemaduras. Estas manchas pueden ser ásperas al tacto y pueden causar molestias al comer o hablar. Es importante tener en cuenta que estas manchas pueden aparecer y desaparecer, dependiendo de la exposición al níquel.

Te interesa  Cuidados de la piel tras una quemadura solar en niños: Instrucciones de cuidado

Síntomas graves de alergia al níquel en la boca

Ampollas en la piel

En casos más graves de alergia al níquel en la boca, puedes desarrollar ampollas en la piel. Estas ampollas pueden ser grandes y llenas de líquido. Pueden ser extremadamente dolorosas y pueden causar molestias significativas. Si experimentas ampollas en la piel, es importante buscar atención médica de inmediato.

Drenaje de líquido en la piel

Otro síntoma grave de la alergia al níquel en la boca es el drenaje de líquido en la piel. Puedes notar que la zona afectada comienza a liberar líquido, lo que puede ser un signo de infección o complicaciones adicionales. Si experimentas este síntoma, es importante buscar atención médica de inmediato para recibir el tratamiento adecuado.

Si experimentas síntomas como erupción cutánea, picazón intensa, enrojecimiento o cambios en el color de la piel, manchas de piel seca similares a quemaduras, ampollas en la piel o drenaje de líquido, es posible que estés sufriendo de alergia al níquel en la boca. Es importante buscar atención médica si los síntomas son graves o si persisten durante un período prolongado de tiempo. Un médico podrá evaluar tus síntomas y recomendarte el tratamiento adecuado para aliviar tus molestias y prevenir complicaciones adicionales.

Deja un comentario